こんにちは。東京都世田谷区北沢にある医療法人社団 燦陽会 下北沢駅前歯科クリニックです。

歯周病は、歯ぐきの腫れや出血から始まり、放置すると歯を支える骨が溶けて歯を失う原因にもなる怖い病気です。日本においても多くの人が歯周病にかかっていると言われ、歯科医院では歯周病予防に力を入れています。
「自分は歯周病になりにくい」と思っている方もいるかもしれませんが、実は歯周病になりやすい人にはいくつかの共通点があります。
この記事では、歯周病のリスクが高まる要因や、歯周病を予防するために日常生活でできることについて詳しく解説します。
目次
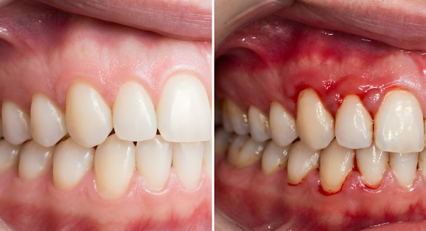
歯周病とは

歯周病とは、歯を支えている歯ぐきや骨などの歯周組織が、細菌の作用によって炎症を起こす病気です。初期段階の歯肉炎では、歯ぐきが赤く腫れたり、ブラッシングの際に出血したりする程度ですが、進行すると歯周炎と呼ばれる状態になります。
歯周炎になると、歯ぐきの奥にある歯槽骨が破壊され、歯がぐらついたり、最悪の場合には抜け落ちたりすることもあり得ます。歯周病は一度進行すると自然には治りにくく、放置すると口の中だけでなく全身の健康にも影響を与える可能性があるため、早めの対応が重要になります。
歯周病になりやすい人の共通点

歯周病は誰でも発症する病気ではありません。生活習慣や身体の状態、環境によってリスクが高まることが知られており、歯科医院では問診や検診を通じてリスク要因のチェックを行っています。
ここでは、歯周病を引き起こしやすいとされる人の主な特徴について解説します。
歯磨きが不十分な人
歯周病の主な原因は、プラーク(歯垢)と呼ばれる細菌のかたまりです。歯と歯ぐきの間にプラークがたまると、炎症が起こりやすくなります。
毎日歯を磨いていても、磨き残しが多かったり正しい方法で磨けていなかったりすると、細菌が増殖して歯周病を引き起こすリスクが高くなります。
糖尿病の人
糖尿病の方は、特に注意が必要です。血糖値のコントロールが不安定になることで、免疫機能が低下して細菌への抵抗力が弱まります。そのため、歯ぐきの炎症が進行しやすくなり、歯周病のリスクが高まる傾向があります。
また、歯周病が悪化すると血糖値の管理が難しくなるという相互関係もあるため、口腔ケアと全身の健康管理を並行することが大切です。
喫煙習慣のある人
歯周病になりやすい人の中でも、喫煙者は特にリスクが高いとされています。たばこに含まれるニコチンや一酸化炭素は、歯ぐきへの血流を悪化させ、細菌と戦う白血球の働きを弱めるため歯周病が進行しやすくなるのです。
また、喫煙者の歯ぐきは炎症が起きていても出血しにくくなり、歯周病が進行していることに気づきにくいのも特徴です。その結果、気づいたときには重度の歯周病になっているケースも少なくありません。
たばこは歯ぐきの色を悪くし、口臭を引き起こす原因にもなるため、見た目や印象にも影響を与える可能性があります。歯周病を予防し、口の健康を守るためには禁煙が非常に重要な対策となります。
歯並びが悪い人
歯並びが乱れていると、歯と歯のあいだにすき間や重なりができ、歯ブラシの毛先が届きにくくなります。そのため、毎日の歯磨きでは汚れをうまく取り除けず、磨き残しが多くなりやすい状態になります。こうした汚れがたまると歯石ができやすくなり、歯ぐきに炎症が起こる原因になるのです。
また、歯並びが悪いと、噛む力が一部の歯に集中しやすくなります。これによって周囲の組織に余計な負担がかかり、歯ぐきが弱くなることもあります。加えて、歯並びが乱れている人は口呼吸や発音のしづらさといった影響も受けやすく、こうした習慣が歯ぐきの健康に悪影響を及ぼす場合もあります。
ストレスのある人
ストレスがたまっていると、身体の免疫力が落ちるだけでなく、歯ぐきの炎症を引き起こしやすくなります。ストレスが続くと、唾液の分泌量が減って口の中が乾きやすくなって細菌が増える原因にもなります。
また、強いストレスを感じていると、無意識のうちに食いしばりや歯ぎしりが起こることもあり、歯周組織に負担をかけてしまうのです。強いストレスが続くと生活習慣も乱れやすくなり、歯磨きが不十分になったり甘いものを多くとるようになったりすることもあります。
食生活が偏っている人
栄養バランスの偏った食生活も、歯周病になるリスクを高める要因です。ビタミンやミネラルが不足していると、免疫力が低下して歯ぐきの粘膜が弱くなります。また、砂糖を多く含む食品や飲料を頻繁に摂取すると、口の中で細菌が繁殖しやすくなってプラークの蓄積につながります。
一方、よく噛んで食べることは、唾液の分泌を促して口腔内の自浄作用を高める効果があります。そのため、やわらかい食べ物ばかりを好む食習慣も注意が必要です。
歯周病を予防する方法

歯周病は、発症してから治療するよりも、日頃のケアによって予防するほうがはるかに簡単で効果的です。以下に、歯周病を予防する方法をご紹介します。
正しい歯磨きを実践する
歯周病を予防するためには、毎日の歯磨きを正しく行うことが基本中の基本です。食べカスや歯垢は時間が経つと歯石となり、歯周病菌のすみかになります。そうなる前に、しっかりと除去することが重要なのです。
特に、歯と歯ぐきの境目には汚れがたまりやすいため、小刻みに動かしながら磨く方法が効果的とされています。また、歯ブラシだけでなく、フロスや歯間ブラシといった補助用具も活用することが、口の中を清潔に保つうえで大切です。
自己流での歯磨きは意外と磨き残しが多いものです。正しい磨き方を歯科医院で指導してもらって日々のケアに取り入れることが、歯周病予防の第一歩となります。
定期的に歯科検診を受ける
歯周病を早期に発見して重症化を防ぐためには、定期的に歯科医院で検診を受けることが大切です。歯ぐきの状態や歯周ポケットの深さ、歯石の付着などは自分では確認しにくいため、専門的なチェックが必要です。少なくとも半年に一度は検診を受けましょう。
歯科医院では歯ぐきの検査や歯周ポケットの測定、歯石除去などを行い、歯周病のリスクや進行度に応じたケアを提案してもらえます。自分では気づきにくい初期の歯周病を見逃さないためにも、定期検診を習慣にしましょう。
また、専門家によるケアを受けることで、自宅でのケアの質も高まりやすくなります。定期検診は、健康な歯ぐきを守るうえで欠かせない習慣です。
禁煙をする
たばこに含まれる有害物質は、歯ぐきの血流を悪化させ免疫力も低下させます。その結果、歯周病が進行しやすくなり、治療を行っても効果が出にくい状態になります。特に重度の歯周病では、禁煙しなければ改善が難しいケースも少なくありません。
また、たばこは口臭の原因にもなり、見た目や人間関係にも影響を与える可能性も考えられます。
禁煙することで歯周病の予防効果が高まり、全身の健康にも良い影響をもたらします。歯ぐきの状態が改善しやすくなり、治療の成果も得やすくなるため、歯の健康を守りたい方には禁煙を検討してはいかがでしょうか。
ストレスをためない
ストレスが続くと体の免疫力が低下し、歯茎の炎症が進みやすくなります。また、ストレスは歯ぎしりや食いしばりの原因にもなり、歯周組織に余計な負担をかけることもあります。
これを防ぐためには、ストレスの原因を理解し、適切に発散することが大切です。例えば、運動・音楽・会話など、自分に合ったリラックス方法を見つけて生活の中に取り入れることで、心と体のバランスを保ちやすくなります。
食生活を見直す
ふだんの食生活も歯ぐきの健康に大きな影響を与えます。甘いものをよく食べる方や、間食が多い方は、口の中に糖分が残りやすくなって歯周病のリスクが高まります。また、栄養が偏った食事を続けていると、歯ぐきの抵抗力が弱まり炎症が起きやすくなります。
予防のためには、ビタミンやたんぱく質、カルシウムなどをバランスよく摂ることが重要です。特にビタミンCは、歯ぐきの健康に役立つ栄養素として知られています。
まとめ

歯周病は、日頃の生活習慣や体調、環境によって発症しやすい人がいる病気です。正しい歯磨きや定期的な歯科検診、禁煙やストレス管理、栄養バランスのとれた食生活など、予防にはさまざまな取り組みが効果をもたらします。
特に、自分自身のリスク要因を理解し早めに対策をとることが、歯周病の進行を防ぐうえで重要です。また、歯周病は口の中だけでなく全身の健康とも密接に関わっているため、軽視せずにしっかりと向き合うことが求められます。
健康な歯ぐきを維持するためにも、日々の習慣を見直し、できることから始めてみましょう。
歯周病を予防したい方は、東京都世田谷区北沢にある医療法人社団 燦陽会 下北沢駅前歯科クリニックにご相談ください。
当院では、一般歯科や予防歯科、矯正治療、ホワイトニング、マタニティー歯科など、さまざまな分野に力を入れています。ホームページはこちら、ご予約・お問い合わせもお待ちしております。公式Instagramも更新しておりますので、ぜひチェックしてみてください。



